New York

New York

Zen Dentistry - East Village

Services Offered

About the Business

Zen Dentistry is a warm and inviting dental practice. Built on the philosophy that the dental experience is something that patients should want to do, rather than something they feel like they have to do, Zen Dentistry delivers the highest quality dental services in a package that promotes total ease and relaxation for its patients. Zen Dentistry alleviates dental anxiety by operating on the principle that the best way to keep patients tranquil in the office and satisfied when they get home is to make sure that they’re well-informed about their conditions and treatments.

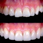
Photos

Day Hours
Monday 8:30 AM - 6:00 PM
Tuesday 8:30 AM - 7:00 PM
Wednesday 8:30 AM - 6:00 PM
Thursday 8:30 AM - 6:00 PM
Friday 8:30 AM - 2:00 PM
Saturday Closed
Sunday Closed

Lumia Dental

Services Offered

About the Business

Full service, general and speciality dental office with cutting-edge technology: Implants, Invisalign, whitening, cosmetic veneers, cosmetic bondings, conservative dentistry, full service emergencies. Please visit our website for full list of services.

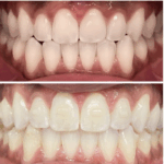
Photos

Day Hours
Monday 8:00 AM - 6:00 PM
Tuesday 8:00 AM - 6:00 PM
Wednesday 8:00 AM - 6:00 PM
Thursday 8:00 AM - 6:00 PM
Friday 8:00 AM - 2:00 PM
Saturday Closed
Sunday Closed

Rockefeller Cosmetic Dentistry

Services Offered

About the Business

Looking for top-notch dental care? Look no further! Rockefeller Cosmetic Dentistry offers comprehensive services to meet all your dental needs. We have you covered, from transformative dental implants and dazzling teeth whitening to same-day tilted implants, discreet lingual braces, and Invisalign. Our team is committed to providing exceptional cosmetic dentistry, including veneers and any other cosmetic dental procedure you may require. Whether it’s routine dental maintenance or a complete smile makeover, our skilled professionals are here to deliver outstanding results. Experience the confidence that comes with a radiant smile. Our attention to detail, state-of-the-art techniques, and personalized care ensure that you receive the best possible treatment every time you visit. Don’t settle for anything less than the best. Choose Rockefeller Cosmetic Dentistry for a dental experience that exceeds your expectations. Contact us today to schedule your appointment and unlock the smile of your dreams!

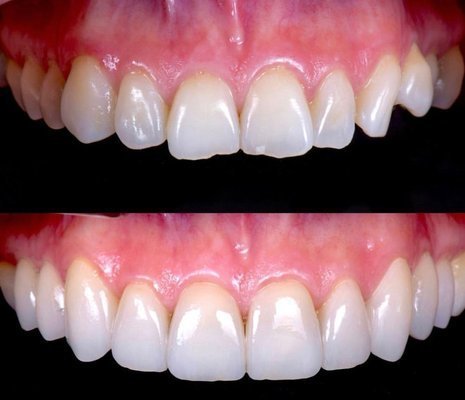
Photos

Day Hours
Monday 9:00 AM - 6:00 PM
Tuesday 9:00 AM - 6:00 PM
Wednesday 9:00 AM - 6:00 PM
Thursday 9:00 AM - 6:00 PM
Friday 9:00 AM - 6:00 PM
Saturday 8:00 AM - 3:00 PM
Sunday Closed

Gentle Dental Family Care

Services Offered

About the Business

Gentle Dental Family Care is a modern dental clinic, specialized in advanced diagnostics and treatment of dental disorders. We guarantee comprehensive diagnostics and offer various forms of dental care, surgical procedures, and cosmetic dental services.

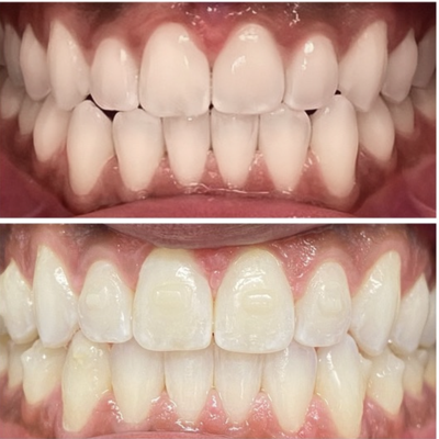
Photos

Day Hours
Monday 9:00 AM - 5:00 PM
Tuesday 9:00 AM - 5:00 PM
Wednesday 9:00 AM - 3:00 PM
Thursday 9:00 AM - 5:00 PM
Friday 9:00 AM - 3:00 PM
Saturday Closed
Sunday 9:00 AM - 5:00 PM

Terra Dental

Services Offered

About the Business

At Terra Dental Hell’s Kitchen, we set out to redesign dental care by combining clinical excellence with a luxurious, spa-like experience. We allocate significant time and attention to every patient to ensure they are well cared for and feel at ease. We accept most PPO insurances including Cigna, Aetna, Guardian, Metlife, Delta Dental, and more! While we offer the full set of comprehensive dental care, we are cosmetic dentists and specialize in Treatments such as Invisalign,

Photos

Day Hours
Monday 8:30 AM - 5:00 PM
Tuesday Closed
Wednesday 8:30 AM - 5:00 PM
Thursday 8:30 AM - 5:00 PM
Friday 8:30 AM - 5:00 PM
Saturday 8:30 AM - 4:30 PM
Sunday Closed